
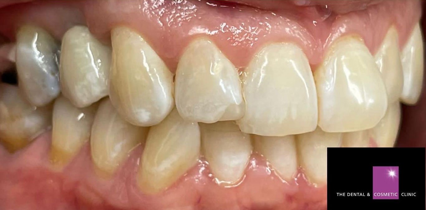
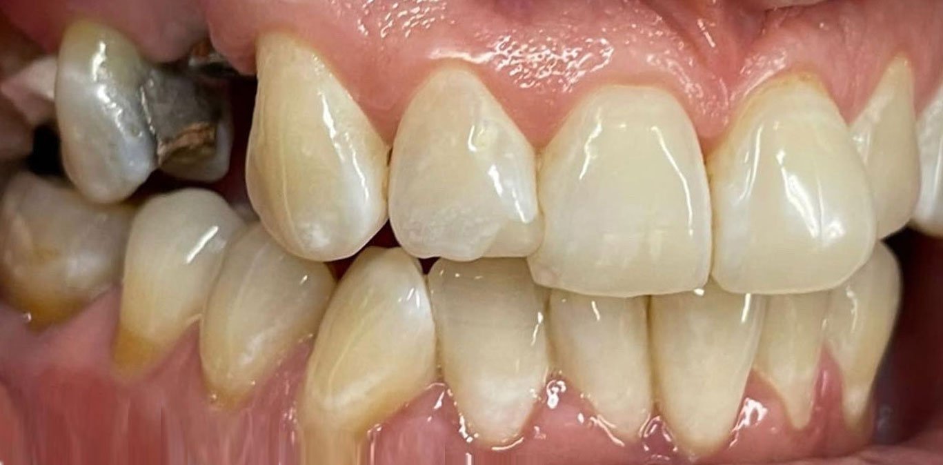
Implant dentistry is truly life-changing. It offers a long-term solution to missing teeth and completely transforms the appearance of your smile and dental function.
At The Dental & Cosmetic Clinic, we offer patients the latest and most advanced level of implant dentistry. All three of our lead dentists provide this transformative treatment, leaving patients smiling with confidence and experiencing improved dental health.
If you have experienced tooth loss and want to find out how we can help, read on for our guide to dental implants.
Back to smile galleryThe best dental clinic I have ever stepped foot in by a long way. The whole team there are brilliant and I couldn’t recommend them enough to anybod...
I’m not a fan of writing reviews, I’ll be honest. But when a service is provided which is well above average then I think one is deserved. From s...
Wow, after a very comprehensive consultation with Duncan, I arrived at the practise 14.30 had 9 Implants fitted, left just 3 1/2 hrs later, took 2 pa...
The staff at reception are lovely and very professional .The consultant I met, Dr. Anoop Gill answered all my questions and took away any concerns I...