
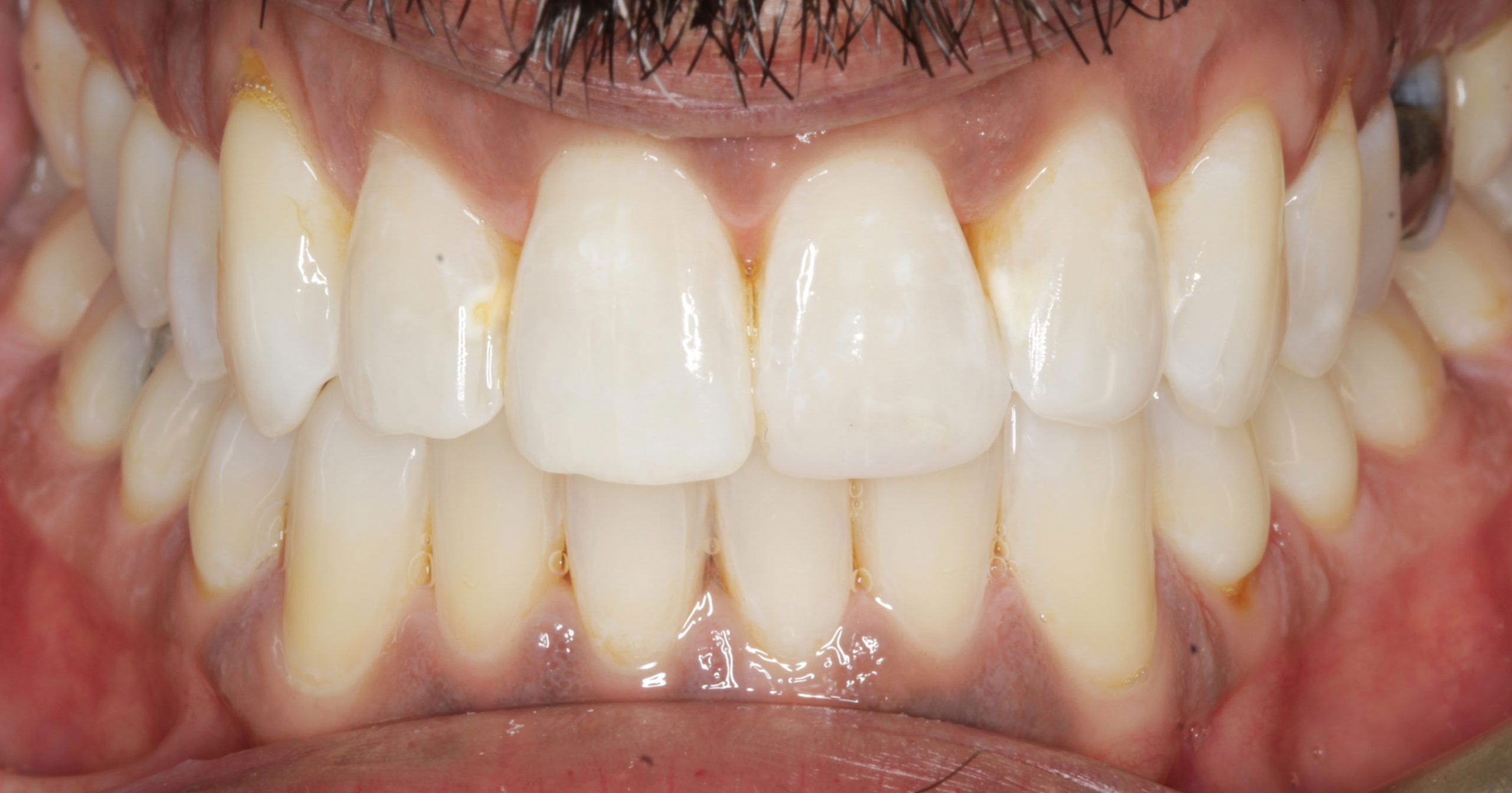
At The Dental and Cosmetic Clinic we use Invisalign® aligners (also known as Clear or Invisible Braces), developed by Align Technology, Inc. (“Align”), which have become increasingly popular over the years. They consist of a series of clear plastic, removable appliances that move your teeth in small increments, without the need for metal wires or brackets. Invisalign’s product combines your…
LEARN More

At The Dental and Cosmetic Clinic we use Invisalign® aligners (also known as Clear or Invisible Braces), developed by Align Technology, Inc. (“Align”), which have become increasingly popular over the years. They consist of a series of clear plastic, removable appliances that move your teeth in small increments, without the need for metal wires or brackets. Invisalign’s product combines your…
LEARN More

At The Dental and Cosmetic Clinic we use Invisalign® aligners (also known as Clear or Invisible Braces), developed by Align Technology, Inc. (“Align”), which have become increasingly popular over the years. They consist of a series of clear plastic, removable appliances that move your teeth in small increments, without the need for metal wires or brackets. Invisalign’s product combines your…
LEARN More

At The Dental and Cosmetic Clinic we use Invisalign® aligners (also known as Clear or Invisible Braces), developed by Align Technology, Inc. (“Align”), which have become increasingly popular over the years. They consist of a series of clear plastic, removable appliances that move your teeth in small increments, without the need for metal wires or brackets. Invisalign’s product combines your…
LEARN MoreThe best dental clinic I have ever stepped foot in by a long way. The whole team there are brilliant and I couldn’t recommend them enough to anybod...
I’m not a fan of writing reviews, I’ll be honest. But when a service is provided which is well above average then I think one is deserved. From s...
Wow, after a very comprehensive consultation with Duncan, I arrived at the practise 14.30 had 9 Implants fitted, left just 3 1/2 hrs later, took 2 pa...
The staff at reception are lovely and very professional .The consultant I met, Dr. Anoop Gill answered all my questions and took away any concerns I...