Menu

Speak to us today 01162 785 611

Re-Opening 1st June

29-05-2020

Great news! We are extremely happy to announce that we will officially be open on Monday 1st June, ahead of the curve! Yesterday's government announcement…

Read More

Smile of the week

05-02-2018

We just love Emma’s new smile! It’s lovely to hear how much she loves her new crowns and veneers. I think you will agree a…

Read More

Award Winning Team – Restorative Implant Retained Dentures of the year!

28-03-2017

It is an honor to announce that Duncan and the team have once again won an award in the prestigious Aesthetic Dentistry Awards 2017, held…

Read More

Mannequin Challenge

22-11-2016

The team do the mannequin challenge #manikinchallenge with Peter Whiteford from METraining. We had a great afternoon updating our medical emergency and AED training. Thanks Peter!! https://youtu.be/3MXxiDDxEng

Read More

MacMillan Coffee Morning – Thank You

10-10-2016

A big thank you to everyone who came to our MacMillan Coffee Morning on friday. Together we raised £103.30! Congratulation to Cheryl who won the…

Read More

MacMillan Coffee Morning

30-09-2016

From 9am next friday come and join us at the clinic for Coffee, Cake and Conversation. The team are having a bake off to raise…

Read More

School visit by the team

12-09-2016

Thank you Parkland Primary School for inviting us back! We enjoyed talking to the children about teeth, hidden sugars and looking after themselves. Our favourite…

Read More

Thank you card

12-09-2016

We’re the “BEST dental practice EVER”! Thank you so much Nikki for your lovely card and words. We are so happy that you love your…

Read More

Fingers Crossed for The Awards!

17-03-2016

Wishing the team good luck for tomorrows Aesthetic Dentistry Awards being held in London’s Landmark Hotel. Keep your fingers crossed for us!

Read More

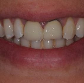
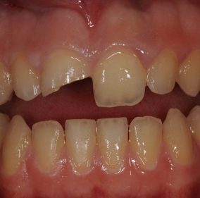
Smile of the week! E.max Crown

14-03-2016

Smile of the week! This beautiful young lady was devastated after an unfortunate accident to her front tooth. Luckily a friend recommended Duncan who being…

Read More

Get in touch

We love our patients

The best dental clinic I have ever stepped foot in by a long way. The whole team there are brilliant and I couldn’t recommend them enough to anybod...

Rhys Roberts

g rating thumb1
Read More

We love our patients

I’m not a fan of writing reviews, I’ll be honest. But when a service is provided which is well above average then I think one is deserved. From s...

Richie Green

g rating thumb1
Read More

We love our patients

Wow, after a very comprehensive consultation with Duncan, I arrived at the practise 14.30 had 9 Implants fitted, left just 3 1/2 hrs later, took 2 pa...

Chris Clarke

g rating thumb1
Read More

We love our patients

The staff at reception are lovely and very professional .The consultant I met, Dr. Anoop Gill answered all my questions and took away any concerns I...

Reginald Pesci

g rating thumb1
Read More

Dental Implants

Learn more

Cosmetic Dentistry

Learn more

Invisalign

Learn more

General Dentistry

Learn more

Facial Aesthetics

Learn more

Advanced Dentistry

Learn more

Sleep Appliances

Learn more

Follow us on socials

phone thumb1

Call Us

mail thumb1

Contact us