Menu

Speak to us today 01162 785 611

Award Winning Dental Implant Dentist Duncan showing off his new dental equipment – Isolite

02-07-2015

Leicester’s award winning Dental Implant Dentist Duncan showing off his new dental equipment – Isolite. Cheryl Bissaker his practice manager kindly agreed to be his…

Read More

Congratulations Kathleen and Karen

29-06-2015

Congratulations to Kathleen Bray for achieving her NCFE Level 2 Principles of Dementia Care and Karen Mangham for passing her Level 2 OCR Functional Skills…

Read More

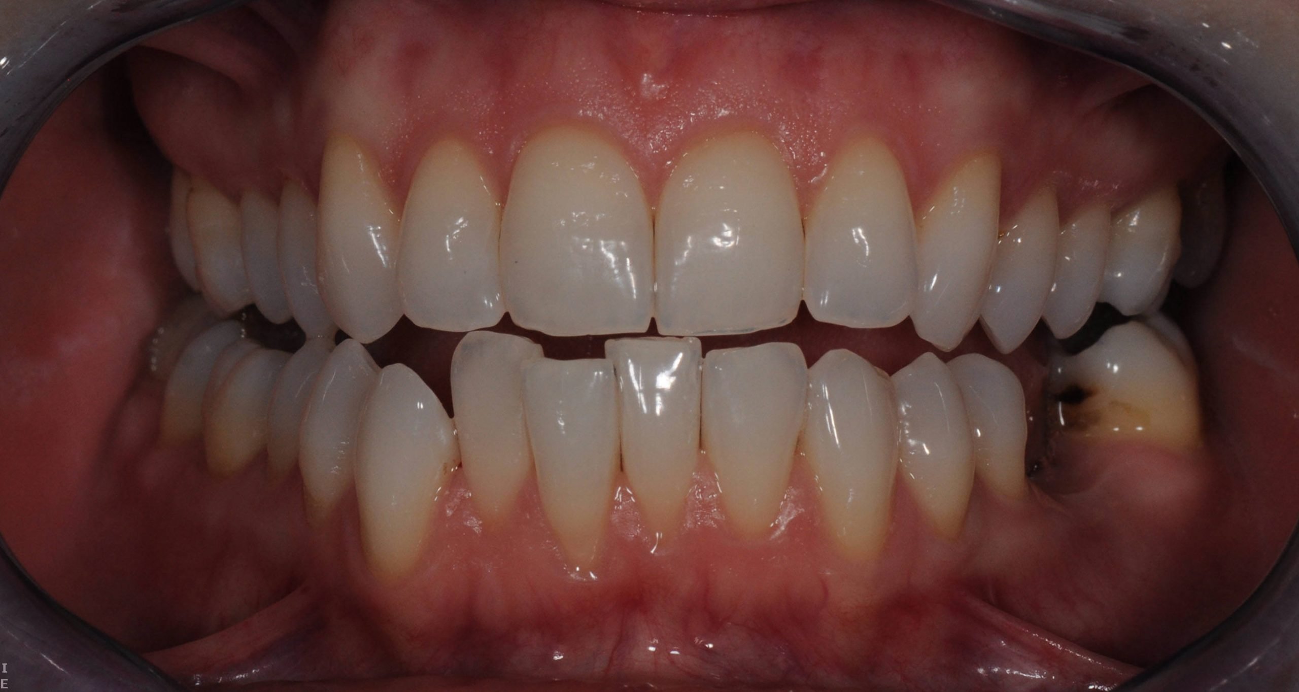
Smile of the week – Dental Implants and Clear Aligner Braces

23-06-2015

This Pretty young lady came to us complaining of difficulty cleaning her lower teeth.  She also wanted to improve her smile and function. Duncan used…

Read More

Proffesional Teeth Whitening Offer

12-06-2015

Smile of the Week – Teeth Whitening Download our app https://suma.me/405e to get this incredible offer of £250 (Tray teeth whitening system usual price £350)

Read More

Dental Implant Team Awarded Highly Commended!

12-06-2015

Well Done to our team for our Highly Commended Award for Team of the Year Midlands! A fantastic achievement for our team who we all…

Read More

The truth about over the counter whitening.

05-06-2015

https://www.bbc.co.uk/programmes/b05y3953 The truth about over the counter whitening. This interesting BBC  programme which was televised last night followed the trials of several over the counter…

Read More

National Smile Month

19-05-2015

It’s National Smile Month! Monday 1st June the team will be at Alton Towers ‘Smiling on the Smiler for Smile Month’ we will be raising…

Read More

Smile of week!

08-05-2015

Duncan’s Smile of the week! Teeth Whitening This lovely girl was told she would face her childhood with these dark areas on her teeth and…

Read More

Continued professional Development – CPD

01-05-2015

The Team at The Dentistry Show NEC 2015 having a fun time whilst updating our skills. We found all of the lectures very informative they included…

Read More

New Equipment!

30-04-2015

  Wow…. our new OPG x-ray machine looks great and produces super sharp images using a very small dose! Great news for the clinic and…

Read More

Get in touch

We love our patients

The best dental clinic I have ever stepped foot in by a long way. The whole team there are brilliant and I couldn’t recommend them enough to anybod...

Rhys Roberts

g rating thumb1
Read More

We love our patients

I’m not a fan of writing reviews, I’ll be honest. But when a service is provided which is well above average then I think one is deserved. From s...

Richie Green

g rating thumb1
Read More

We love our patients

Wow, after a very comprehensive consultation with Duncan, I arrived at the practise 14.30 had 9 Implants fitted, left just 3 1/2 hrs later, took 2 pa...

Chris Clarke

g rating thumb1
Read More

We love our patients

The staff at reception are lovely and very professional .The consultant I met, Dr. Anoop Gill answered all my questions and took away any concerns I...

Reginald Pesci

g rating thumb1
Read More

Dental Implants

Learn more

Cosmetic Dentistry

Learn more

Invisalign

Learn more

General Dentistry

Learn more

Facial Aesthetics

Learn more

Advanced Dentistry

Learn more

Sleep Appliances

Learn more

Follow us on socials

phone thumb1

Call Us

mail thumb1

Contact us